The Procter & Gamble Company (NYSE:PG) is included among the 12 High Dividend Stocks Picked by Billionaire Ray Dalio.
On April 17, JPMorgan analyst Andrea…

The Procter & Gamble Company (NYSE:PG) is included among the 12 High Dividend Stocks Picked by Billionaire Ray Dalio.
On April 17, JPMorgan analyst Andrea…

Singapore, April 21 2026 — CFOs across Asia‑Pacific are accelerating…

News Summary:

Beijing
For more than a decade, leader Xi Jinping has overseen a transformation within the Chinese economy with one aim: making it energy-secure.
Under that vision,…

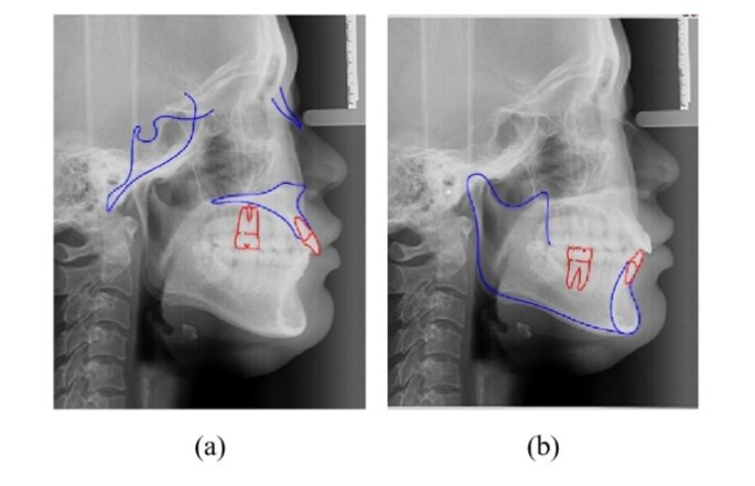
Al-Taai, N., Levring Jaghagen, E., Persson, M., Ransjo, M. & Westerlund, A. A. Superimposition-based cephalometric method to quantitate craniofacial changes. Int. J. Environ. Res. Public. Health. 18 https://doi.org/10.3390/ijerph18105260 (2021).

Oil prices jumped, and global equities pulled back on Monday as markets grew increasingly concerned that the ceasefire between the US and Iran might not hold, while tensions over the Strait of Hormuz escalated.Brent crude futures LCOc1 rose about…

A staff member trains a humanoid robot to replicate human behavior at a training center in Hefei, Anhui province of China, on April 13, 2026.
Vcg | Visual China Group | Getty Images
Hi, this is Evelyn, writing to you from Beijing. Welcome to the...